September 29, 2020 – First Day of Heat Cycle
Today Kimber came into season. She is right on track as she has been on the 8ish month cycle. We are excited for Justus to be a daddy in the USA!
October 18, 2020 – Transcervical Insemination
Today was an exciting day as Kimber was inseminated today. Since this was not a natural breeding, we did progesterone tests to make sure that our timing was perfect! Counting from ovulation, we have the official due date of December 17, 2020!!!

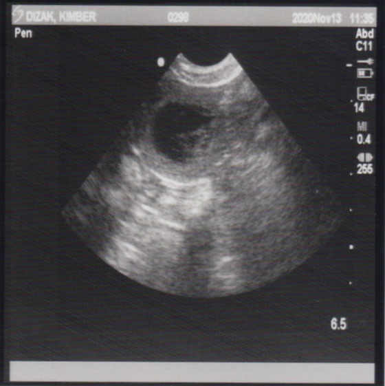
November 13, 2020 – Ultrasound
Since this was an artificial insemination and the success rate a bit lower than natural breedings, we wanted to have an ultrasound done to see if there are any little beings growing inside of Miss Kimber. Well, our repro vet confirmed this morning that Kimber is indeed pregnant!
December 3, 2020 – Whelping box
Normally we put the whelping box up around week 6 of pregnancy, but since Kimber has already had two litters, we decided that it could wait another week. We are also trying a new style of whelping box that is actually not meant to be a whelping box. It is a garden box from Costco that is a favorite for many breeders. Since it is not designed for breeding, we had to order pig rails from a breeding website and customize them to be the perfect fit for this specific box. The pig rails are necessary for the first two weeks or so, so that Kimber doesn’t lay down on a puppy. The older box is somewhat special to us as it was given to us from Kimber’s breeder , LaDonna King of Kingdom Dalmatians. Her husband, Kenny, build it for her to use on the last litter that she would raise. A fun fact about the box from LaDonna is that Kimber was the first puppy to be born in it!

Here she is after she checked out and approved her new nest.
December 7, 2020 – Puppies are kicking!
Puppies usually start to kick around 7 weeks into gestation. Kimber has always been right on track with the puppies kicking. They started to kick a couple of days ago, but we haven’t been able to catch the best video of it until last night. Yesterday evening, I laid down on the floor with Kimber with her in my lap. I thought to myself, “Wow! what a perfect view for a video. If only they would show me some movement, I may be able to get a video of it.” After watching for a minute, I did see some smaller kicks, which made me start to video it. This is what I saw…
December 11, 2020 – X-ray
Today is always one of my favorite days of pregnancy. Kimber’s abdomen was x-rayed so that we could get a general count of how many puppies we should expect. Dr. Harr is usually right on when she counts the little skeletons. She says that we should anticipate 4 puppies! Although it is a smaller litter, we are very excited to welcome them into the world sometime next week!






